This Deadly Brain Disorder Can Develop a Decade After You Get the Measles — And It Just Killed a Child

A tragic case has emerged from Los Angeles, where a school-aged child has succumbed to subacute sclerosing panencephalitis (SSPE), a rare neurological disorder that can develop years after a measles infection. The child contracted measles as an infant, and the emergence of SSPE highlights the grave dangers associated with the disease, especially for those who are unvaccinated. Measles is a highly contagious respiratory illness that carries the risk of severe complications, including pneumonia and SSPE, which primarily manifests six to ten years following the initial infection.
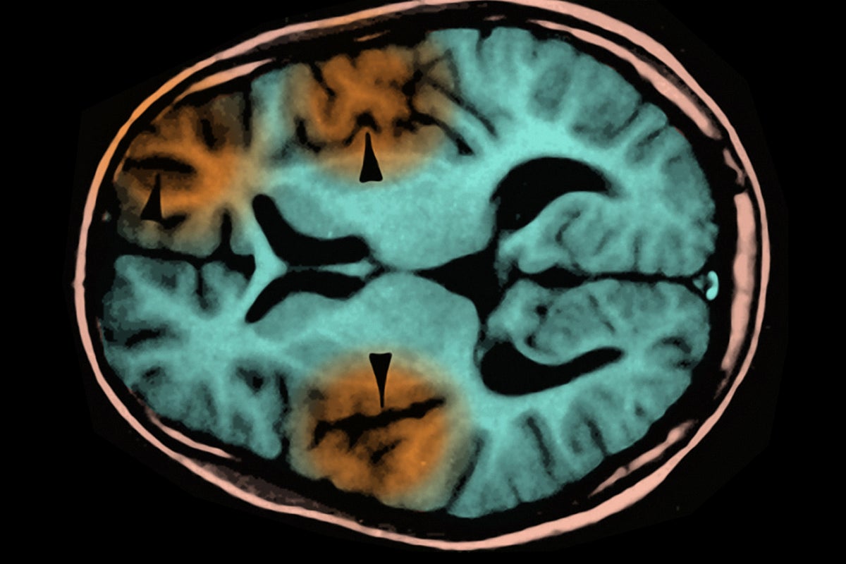
The Link Between Measles and SSPE

Subacute sclerosing panencephalitis is a progressive neurological condition characterized by the deterioration of cognitive and motor functions. While SSPE is rare, affecting approximately four to eleven individuals for every 100,000 cases of measles, its impact is devastating. The mortality rate for SSPE stands at an alarming 95%, and currently, there is no known cure. This grim statistic underscores the importance of immunization against measles, particularly for children who represent the most vulnerable demographic.
The vast majority of measles cases can be effectively prevented through vaccination. The MMR vaccine, which provides protection against measles, mumps, and rubella, has a commendable 97% efficacy rate, significantly reducing the incidence of these diseases. However, recent trends have shown a concerning decline in vaccination rates within the United States, exacerbated by factors such as the COVID-19 pandemic and misinformation surrounding vaccines.
The Importance of Vaccination Against Measles

As reported by the Centers for Disease Control and Prevention (CDC) in 2025, approximately 92% of the 1,491 recorded measles cases this year were in unvaccinated individuals. This statistic emphasizes the urgent need for increased vaccination efforts. Unvaccinated children are not only at risk of contracting measles but also of developing severe complications like SSPE that can arise many years later. Vaccination isn’t just about personal health; it plays a crucial role in community immunity, protecting those who cannot be vaccinated, such as infants and individuals with certain medical conditions.
- Measles is highly contagious and can spread through respiratory droplets.
- The MMR vaccine has significantly decreased measles cases worldwide.
- Health experts advocate for vaccination to prevent outbreaks and protect vulnerable populations.
Understanding the Risks of Measles

The recent death of a child from SSPE should serve as a stark reminder of the potential dangers posed by measles. The disease can lead to serious health complications—it is not merely a rash and fever. Measles can cause pneumonia, encephalitis, and in rare cases, SSPE, which may not present symptoms until years after the initial illness. Parents and guardians must understand that the consequences of not vaccinating their children extend beyond individual risk; they threaten community health as well.
Measles outbreaks have been documented in various regions, reflecting declining vaccination rates and increasing complacency regarding vaccine-preventable diseases. It is imperative that healthcare providers, educators, and public health officials collaborate to address vaccine hesitancy and misinformation that may lead to lower immunization rates.
Taking Action: What You Can Do

As we reflect on this tragic case, it’s essential to elevate our understanding of measles and its long-term impacts. Ensuring that children receive the MMR vaccine according to the recommended schedule is crucial. Parents should consult with healthcare professionals to get accurate information regarding vaccines and to discuss any concerns they may have. Educational campaigns can also help raise awareness about the benefits of vaccination and the serious risks associated with diseases like measles and SSPE.
In conclusion, the heartbreaking death of a child from SSPE amplifies the call for heightened vaccination efforts. Safeguarding our children against measles is not just a parental choice; it is a collective responsibility. If you haven’t vaccinated your child, now is the time to take action. Schedule an appointment with your healthcare provider today and protect your child—together, we can prevent tragic outcomes like this and ensure a healthier future for all.




